
腹直筋離開が発症するタイミングとは?《金町のやぎはし整体院が解説》
出産後に腹筋が裂けていることに気づく方が多いです。
「お腹が裂けている」「でべそが気になる」「ポッコリお腹が産後から気になる」
といった訴えが多いです。
これを腹直筋離開(ふくちょくきんりかい)といいます。
厳密には、妊娠中から離開が生じていると言われております。
腹直筋離開の症状とは?
- 腹筋が裂けている気がする…
- おなかが変…
- 腹筋に力が入らない
- 腹筋がおかしい
- 寝ていると、おなかが垂れる
- お腹が「ぐにょぐにょ」動いてるのが分かる
- 腹筋に亀裂がある
- 四つ這いでおなかが垂れる
- 内臓がしっかり固定されていない感じがする
- でべそになった…
- 腹筋の形が変…
- 咳をすると、お腹がふくらむ
- 帝王切開した後に、お腹が中央から離開した
- 出産したのに「妊娠したままのお腹」のような”ぽっこりお腹”
腹直筋離開ができるメカニズムとは?
腹直筋はお腹の筋肉で一番表面にある筋肉のことです。
シックスパックに見える筋肉が”腹直筋”です。
その腹直筋が、妊娠に伴う子宮の増大で筋膜&腱膜が引き延ばされて緩むことで真ん中から左右に裂けてしまうことがあり、それを「腹直筋離開」というのです。
腹直筋離開のセルフチェックの方法とは?
裂け目の距離を指で図ることで腹直筋離開の重症度がわかります。
2㎝または、指2本の幅よりも広いと重大だと考えられています。

腹直筋離開の発生頻度は?
9割以上の妊婦が腹直筋離開になると言われています。
腹直筋離開は、自然治癒(産後6ヵ月~1年)する場合もありますが、
数年経っても治らない人も多いです。
したがって、確実に検査をして、適切な治療をすることが腹直筋離開には重要なのです。
また、産後、でべそになった方は腹直筋離開の可能性が非常に高いです。
腹直筋離開により、でべそが発生するためです。
でべそになった方は、一刻も早くご相談ください。
出べそになったでも、腹直筋の改善と一緒にでべそが治る方が非常に多いです♪
病院・産婦人科での検査・治し方
日本では、腹直筋離開に対する理解が少ないようです。
病院に行っても、治し方を教えてくれないことが多いようです。
医師でも腹直筋離開に対する重要性と深刻さを理解していない方もおり、患者様は困って来院されます。
「見た目の問題でしょ!」「放っておけば治るよ!」「腹筋でもしていたら!」と言う医師が多く、
不親切な対応をされる方が多いです。
また、「帝王切開したんだから、腹直筋が開くのは当たり前でしょ!」と言われた方もいます。
帝王切開で、腹直筋離開になるのであれば、帝王切開の前にリスクの説明があるはずです。
事前に説明がないにもかかわらず、帝王切開が原因で腹直筋離開になったのであれば、それは手術前の説明不足で訴訟問題になる可能性があります。
しかし、多くの場合、妊娠中にすでに発症しています。
したがって、帝王切開で腹直筋離開になるということはありません。
やはり、このようなことからも、医師の腹直筋離開に対する理解が乏しいことが推測されます。
アメリカやヨーロッパの病院でも認識が乏しく、
腹直筋離開の症状で八木橋まで問い合わせがきているほどです。
最近は翻訳機能が進歩したため、特に困らず、海外の患者様と意思疎通できております(^^)
腹直筋離開の原因は?
妊娠中の腹直筋離開は「ホルモンの影響」と「妊婦の体の変化」により生じると言われています。
また、分娩時、息をこらえることによっても腹圧が高まり離開が発症すると思われています。
当院での腹直筋離開の検査・チェック
【超音波(エコー)による検査】
当院では、超音波エコーによる腹直筋の観察が可能です。
現在、多くのお客様の腹直筋をエコーによって検査しています。
腹直筋離開の状態、治療の変化など、多くのことがエコーで分かります。
【上体起こし検査】

- 両ひざをたてて、仰向けになる。
- 顎を引いたまま、ゆっくりと頭・肩を持ち上げる。
- へその位置、へそ上、へそ下の3か所でお腹をさわる。
- 離開があれば、割れ目に指が入っていく。
(2本入ると、重症!!)
【脚挙げ検査】
- 脚を伸ばし、仰向けになる。
- その後、一側の脚を床から5㎝拳上する。
- へその位置、へその上、へその下の3か所でお腹をさわる。
- 離開があれば、割れ目に指が入っていく。(2本入ると、重症!!)
以上の検査で、
1.背中や骨盤に傷みがある
2.お腹の真ん中あたりの腹直筋が柔らかかったり、理解があったりする
3.お腹に膨らみがある
4.会陰部が下がるような感覚や膨らむような感覚がある
1つ以上の項目が当てはなる方は、運動を始める前に腹部と骨盤底筋の詳しい検査が必要です。
当院で行うことができますのでお気軽にご相談ください。
当院の腹直筋離開の治し方
<エクササイズ編>
当院では、腹直筋離開に対するアプローチを行なうことができます。
「腹筋してれば治るから!」と医師に言われても、普通の腹筋運動は行わないでください。
普通の腹筋を行うことで腹直筋離開が悪化し、確実に失敗します。
産後ダイエット目的や骨盤調整目的で行うダンスエクササイズが流行っていますが、腹直筋離開のある方には危険です。
離開の方の適切な腹筋運動の行ない方、回数、頻度は人それぞれ異なります。
絶対に骨盤固定のラインよりも高い位置で止める衣類(タイツ・パンツなど)はダメです!!
腹直筋離開のある方は、インナーマッスルや腹直筋、外腹斜筋、内腹斜筋の機能障害が合併して、産後の体型や腹部の戻りが悪いことが多いです。
したがって、当院では、このインナーマッスルや腹直筋、外腹斜筋、内腹斜筋の機能障害を改善するために、関節や筋肉を整える整体を行ないます。
ヘッドリフト

- 両ひざを立てて、仰向けになる。
- 腹直筋離開の位置で、手を交叉させて支えにする。
- 息を吐き、床から頭部のみを持ち上げる。同時に、手で腹直筋を真ん中に合わせる
- 次に、ゆっくりと頭を下げる。
ヘッドリフトと骨盤傾斜
- 両ひざを立てて、仰向けになる。
- 腹直筋離開の位置で、手を交叉させて支えにする。
- 息を吐き、床から頭部のみを持ち上げる。同時に、骨盤を後方に傾斜させる。
- 次に、ゆっくりと頭を下げ、力を抜く。
<自宅で簡単に出来る腹直筋トレーニング法&腹直筋リセット法の完成>
悪い方法で行うと、改善しないばかりか、悪化します。ヨガ、ピラティス、骨盤矯正などで効果がない場合は、当院のトレーニング法がおススメです!
【参考】腹直筋トレーニング法ハンドブック 本体価格2200円(税込)
腹直筋サポーター(コルセット)
<腹直筋サポーター編>
さらに、おなか(内臓)や腰を保護するために、腹部を固定する必要があります。
産後ショップや一般のお店では、柔らかいサポーターであったり、丈が長くて肋骨や大腿骨を圧迫したりと不具合が大変多く、皆様から相談を受けます。
そこで、当院おすすめの腹部を固定するためのサポーターをご紹介します。

サポーターをすることのメリット

適切な圧迫力を調節できる。

大腿骨や肋骨を圧迫しないので痛くない。

通気性が良いから、むれない。

硬い支柱付きで頑丈。
- 腹直筋を常時、固定してくれる。
- 肋骨を圧迫しないため。痛くない。
- 大腿骨を圧迫しないため、痛くない。
- 調節が楽である。
- 腹圧を与えてくれる(お腹に力が入る)
- 通気性が良いため、むれない。
- 硬い支柱が2本入っており、大変頑丈である。
産後サポーター、ベルトで効果がない場合は、当院おすすめのサポーターをどうぞ!
サイズ:おへそから5㎝下の胴周りを基準
S(58~73㎝) 4500円
M(68~85㎝) 4500円
L(80~100㎝) 4500円
LL(95~120㎝) 4500円
3L(XXL)(115~135㎝) 4500円
※英語表記されたり、操作が不明だったりする場合は、お電話/メールでもご注文を承っております。
ご注文用 電話番号:04-7100-2101
腹直筋離開 販売一覧(税抜)
【サポーター】
サイズ:おへそから5㎝下の胴周りを基準
S(58~73㎝) 4500円
M(68~85㎝) 4500円
L(80~100㎝) 4500円
LL(95~120㎝) 4500円
3L(XXL)(115~135㎝) 4500円
【ハンドブック】
腹直筋トレーニング法 2000円
腹直筋リセット法 2000円
【DVD】
腹直筋トレーニング法 5500円
腹直筋離開の実例・喜びの声
M・K様

| 改善箇所 | 腹直筋離開、お腹ポッコリ、おへそ |
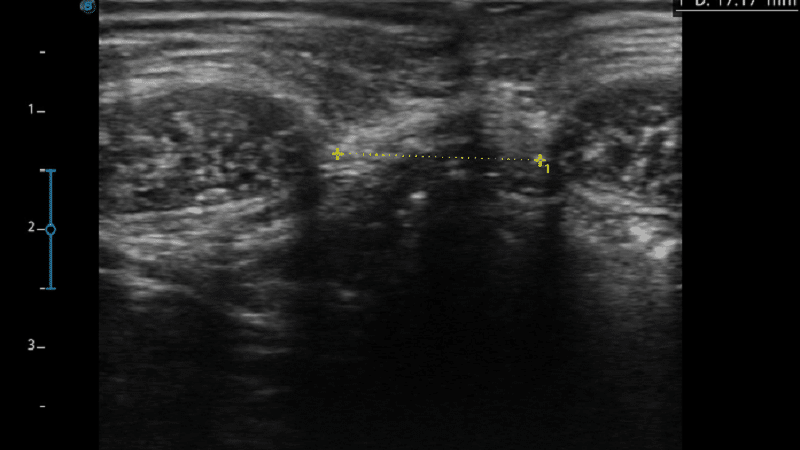
エコー写真は、M様の治療前後の効果を示しています。
治療後すぐから腹直筋離開が改善!
治療前 21.75㎜→治療後17.17㎜
(-4.58㎜ 離開 減少)


治療後も効果が残ることが分かった♪
治療を継続することで、腹直筋離開が改善することが判明した!!
A様 30歳代 女性


| 腹直筋の左右の幅 | 4.0㎝ ⇒ 1.2㎝ |
| 体型 | 明らかに改善 |
| おへその形 | 改善 |
| 腹部の皮膚のたわみ | 改善 |
| 色素沈着 | 改善 |
| 腹直筋の輪郭 | 改善 |
| 腹部の膨隆 | 減少 |
S様

| 腹直筋の左右の幅 | 1.8㎝ ⇒ 1.4㎝ |
| おへその形 | 改善 |
| 腹部の皮膚のたるみ | 改善 |
| 腹直筋の輪郭 | 見えてきた |
Y・S様

| 腹直筋の左右の幅 | 1.0㎝ ⇒ 0.5㎝ |
| 体型 | 徐々に体型が戻った!(本人談) |
| 腹部のたるみ | 徐々に改善 |
| ウエスト | 減少 |
A・M様 30歳代
双子をご出産。4児のママさん。

| トレーニング | 継続中 |
| 腹直筋の左右の幅 | 5㎝ |
| 色素沈着 | あり |
| 腹部膨隆 | あり |
K・T様 30歳代

| 腹直筋の左右の幅 | 2.0㎝ ⇒ 1.3㎝ |
| ウエスト | 減少 |
M・N様

| 腹部膨隆 | 改善傾向 |
| インナーマッスルの機能 | 改善傾向 |
| トレーニング期間 | 1週間 |
R・S様


| 腹直筋の左右の幅 | 3.0㎝ ⇒ 1.7㎝ |
| ウエスト | 減少 |
| 腹部膨隆 | 改善 |
| インナーマッスルの機能 | 改善傾向 |
K・M様

| 腹部膨隆 | 改善 |
| インナーマッスルの機能 | 改善 |
| ウエスト | 劇的に減少 |
| 腹直筋の収縮 | 強くなり、 縦の長さが短くなった。 12㎝ ⇒ 10.5㎝ |
| 腹直筋の左右の幅 | 2.5㎝ ⇒ 1.7㎝ |
これだけの改善が2.5週間で生じたことの事実を確認して頂きたい!
産後のお腹ポッコリ、腹直筋の不調があった方ですが、
当院の整体で改善しました!!
M様は、腹直筋サポーターにもご満足しております!!

-----------------------------------------------------------------------------------

Y・A様




| 腹直筋の長さ | 19㎝以上(測定不可:恥骨結合~胸下まで) ⇒ 6.5㎝ |
| 腹直筋の幅 | 1.7㎝ ⇒ 0.8㎝ |
| おへそ | 改善傾向 |
| ウエスト | 細くなり、くびれが戻った |
| 体幹 | 引き締まった |
| 妊娠線 | 小さくなり、色素沈着も薄くなってきた。 |
N・S様


| 腹部膨隆 | 改善 |
| インナーマッスルの機能 | 改善 |
| ウエスト | 減少 |
| 色素沈着 | 改善 |
| 皮膚のたわみ(妊娠線) | 改善 |
| 腹直筋の幅 | 改善 |
R・T様

| インナーマッスル | 改善 |
| 腹部膨隆 | 改善 |
| おへその状態 | 改善 |
Y・T様

| 腹部膨隆 | 改善 |
| おへその状態 | 改善 |
| ウエストのくびれ | 改善 |
E・M様



| 腹部の状態 | 改善 |
| 腹直筋の幅 | 2.1㎝ ⇒ 1.1㎝ |
| 腹部の皮膚の状態 | 改善 |
| ウエスト | 減少 |
| おへその状態 | 改善 |
R・S様



| ウエスト | 減少 |
| 腹部筋肉 | 改善 |
| 腹直筋の間の幅 | 3.5㎝ ⇒ 0.8㎝ |
| 腹直筋の長さ | 7.0㎝ ⇒ 2.0㎝ |
N様 女性

| 産後の腹部 | ぽっこりがなくなった |
| おへその状態 | 改善 |
| 腹部膨隆 | 改善 |
腹直筋離開の施術内容
腹直筋の施術は、以下のような流れになります。
-
- STEP1腹直筋のエコー検査
- 超音波技術を用いて腹直筋(おなかの筋肉)の状態や構造を評価する検査方法です。
超音波を使って身体内部の構造を可視化し、腹直筋の厚みや形状、異常な部位などを観察します。
-
- STEP2産後の全身の調整
- 産後の体の変化に対応し、体の歪みや不調を改善し、快適な状態に戻すための施術や運動、ストレッチなどのアプローチを組み合わせて行います。
-
- STEP4産後の骨盤調整
- 出産後の女性の骨盤の位置やバランスを整えます。
-
- STEP5頸部の調整
- 手技療法やストレッチ、エクササイズを通じて、筋肉の緊張をほぐし、関節の動きを改善し、頭痛や首の痛み、肩こりなどの緩和を図ることを目的としています。
-
- STEP6肋骨の調整
- 肋骨のバランスを整え、胸郭の可動性を改善します。
-
- STEP7腹直筋の調整
- 手技療法やエクササイズを用いて、筋肉の緊張を調整し、腹部のバランスを改善します。
-
- STEP8エクササイズ指導
- 適切なエクササイズを通じて腹直筋を効果的に鍛えることで、コアの強化や姿勢の改善、腰痛の予防などが期待されます。
エクササイズ指導では、正しいフォームや呼吸法を伝えながら、個々の体力や目標に合ったプログラムを提供します。
施術に加えて、日常生活の注意点など、
お伝えしなくてはいけないことがたくさんあります。
したがって、60分の施術時間をおススメしております。
<当院の腹直筋離開の治し方>
腹直筋離開の改善は、2~3ヵ月(個人差あり)
腹直筋に対する改善プログラムは、10項目あります。
10項目を達成するのに、最短では10回となります。
そのため、大変お得な回数券をおススメしております。
やぎはし整体院の腹直筋離開の診療フロー
-
- 診療 項目➀検査・Step1
- Step1:インナーマッスルの強化
-
- 診療 項目➁Step1の確認
- Step2への判断:Step2に移行できるかを確認します
-
- 診療 項目➂Step2の確認
- Step3への判断:Step➂に移行できるかを確認します
-
- 診療 項目➃Step3➀
- Step3➀:腹斜筋群の働きを使って、再発を予防する
-
- 診療 項目➄Step3➁
- Step3➁へ移行します
-
- 診療 項目➅Step3➂
- Step3➂へ移行します
-
- 診療 項目➆Step3➃
- Step3➃へ移行します <運動強度が上がっていきます>
-
- 診療 項目➇Step3➄
- Step3➄へ移行します
-
- 診療 項目➈Step3➅
- Step3➅へ移行します
-
- 診療 項目➉卒業の確認
- お疲れ様です♪よく頑張りましたね!卒業です(^^)

治る回数に合致した
腹直筋離開の回数券(60分10回券)ご購入の方全員に
腹直筋リセット法ハンドブック(2200円相当)を
プレゼントしています(^^)
| 費用(60分10回券) | 98,000円(税込) ハンドブック プレゼント中! |
通常支払いよりも総額25200円分のお得になります。
(都度払いに比べ、毎回1700円の割引になります)
通常料金で都度払いでの整体も行なっています。
お気軽にご相談ください(^^)
<遠方の方で、当院に通えない方におススメ♪>
オンライン診療・腹直筋離開トレーニングブック・サポーター・DVDの販売
オンライン診療について
zoomやメール、LINEを使って、遠方にいる皆様とリアルタイムで腹直筋離開の状態を確認させていただき、腹直筋離開の改善に向けて、しっかりとやり取りさせていただきます。
詳しくは、オンライン診療ページをご覧ください。
腹直筋離開トレーニングブック
1冊2200円(税込)でご購入可能です。
サポーターについて
毎日ご着用頂くことで効果を発揮します。
そのため、洗い替えで2個ご注文される方が多いです。
(合計金額6600円を超えるため、送料無料です)
※ハンドブック・DVDとの同時購入がおススメです!!
ご郵送での販売について
郵送の場合、送料520円(追跡機能付き)
税込6600円以上ご購入の場合、送料は無料。
※腹直筋サポーターとの同時購入がおススメ!
クレジットカード決済をご希望の方
ご注文手順
- ご希望の商品を選び、カートに追加してください。
- PayPalという決済会社からクレジットカードでの決済が可能です。
- PayPalにアカウントにある方・・・「PayPal Check Out(PayPalで支払う)」を選びます。
- PayPalにアカウントがない方・・・「Check Out(支払う)」を選びます。
- お名前、住所、クレジットカード情報を入力して、ご注文を完了させます。
産後サポーター、ベルトで効果がない場合は、当院おすすめのサポーターをどうぞ!
サイズ:おへそから5㎝下の胴周りを基準
S(58~73㎝) 4500円
M(68~85㎝) 4500円
L(80~100㎝) 4500円
LL(95~120㎝) 4500円
3L(XXL)(115~135㎝) 4500円
※英語表記されたり、操作が不明だったりする場合は、お電話/メールでもご注文を承っております。
ご注文用 電話番号:04-7100-2101




