外反母趾の病因

様々な形状や性質、種類の靴が作られ、それを履くことや最近の生活様式によって、急速に増加してきています。

その要因として、以下などが密接に関わりあって発生します。

外反母趾になる要因
  1. 土踏まず(内側縦アーチ)の低下=扁平足
  2. 横アーチの低下
  3. 中足骨の内反変形
  4. 中足骨頭の円形化
  5. 長い第一中足骨
  6. 基節骨外反
  7. 種子骨の内反変位

内側に曲がっているのにどうして外反母趾?と感じる方がいると思います。

足の中心から見ると内側に曲がっていますが、体全体の中心から見ると足の親指が体の外側に向いているためです。

足に合わない靴を履いていたり、足の筋力が低下していたりすると外反母趾が起こります。

男性と比べて女性の方が筋力が少ないためか女性に多いです。

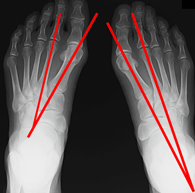
外反母趾のレントゲン写真
 
「標準整形外科学第9版」を一部改編して引用

外反母趾の方のレントゲンでは、このように写ります。

そして、レントゲン上で、どのくらい曲がっているかを線を引いて角度を出します。

その角度が基準より大きければ、外反母趾という診断が付き、治療が開始されます。

外反母趾で膝に痛みが生じる

その理由は、上の写真で説明が付きます。

まず、矢印の外反母趾が発生します。

外反母趾が発生するということは、足の扁平足も生じます。

扁平足になると、足の内側が下に沈むことになり、すねの骨がその沈み込みのバランスを保つために、外側に倒れます。
(この状態がO脚です。)

すねの骨が外側に倒れると、今度はその上に位置する大腿骨が内側に倒れ、全体のバランスを保とうとします。

このように、外反母趾から始まった悪い運動連鎖が、膝関節に対して内から外に向かう力に変わり、膝はO脚になります。

そのため、外反母趾が膝の内側に圧縮・回旋ストレスを作り膝の痛みや変形性膝関節症が生じるようになるのです。

外反母趾にならないように、当院では整体を行っております。

まず、母趾を整えるために、足から全身、全身から足の関係を詳細に分析します。

ストレッチや筋力トレーニングを指導します。

さらに、調整が必要な場合は、装具やテーピング、インソールを用いて母趾を修正し、膝にかかっているストレスを再評価し、膝痛や変形性膝関節症を改善します。

この再評価の結果から、微調整を行い、最終的に膝に最も負担のかからない足部を作っていき、膝の調整を目指していきます。

些細なことでもご相談に乗ります。