
腹直筋トレーニング法・リセット法ハンドブック《金町のやぎはし整体院が》
自宅で簡単にできるトレーニング法&リセット法のハンドブック・DVDが完成しました。
腹直筋離開のある方は、インナーマッスルや腹直筋、外腹斜筋、内腹斜筋の機能障害が合併していることがあり、産後の体型や腹部の戻りが悪いことが多いです。
したがって、金町の当院では、このインナーマッスルや腹直筋、外腹斜筋、内腹斜筋の機能障害を改善するために、関節や筋肉を整える整体を行ないます。
お客様からのご要望の多かった腹直筋離開に対してのトレーニングやリセット法「食事・日常生活での注意点」をまとめました!
(以下は、一部抜粋)
このトレーニング法&リセット法ハンドブックは、医学論文・書籍をまとめ、当院で腹直筋離開に実績のあった方法を記載したものです。
以下のような方法では悪化します
- ピラティスをしている
- ドローインを行なっている
- 肋骨を閉じようとしている
- 骨盤底筋を頑張って鍛えている
- ヨガ教室に通っている
など
悪い方法で行うと、改善しないだけでなく、悪化します。
ヨガ、ピラティス、骨盤矯正などで効果がない場合は、当院の腹直筋トレーニング法・リセット法がおススメです!
当院でしか受けれなかったトレーニング法・リセット法をこの一冊にまとめました!!
<トレーニング編>



オールカラー全25ページ(写真多数)
各トレーニングにコメントが多く付き、自宅で簡単に行うことができます。
<食事・日常生活編>




オールカラー全42ページ(写真多数)
食事での注意点や日常生活で行なってはいけないことなど、多くの写真、コメント、実例を挙げながら、詳しく解説しております。
<トレーニング法DVD>

腹直筋トレーニング法をまとめたDVDでは、映像を見ながら一緒にトレーニングを行なうことができるため、より詳しく、正しく、トレーニングを行なうことが可能です。
また、映像を見ながら注意点を学ぶことができるため、間違いなく実践できます。
腹直筋離開を専門にした整体師

治る回数に合致した
腹直筋離開の回数券(60分10回券)ご購入の方全員に
腹直筋リセット法ハンドブック(2200円相当)を
プレゼントしています(^^)
| 費用(60分10回券) | 98,000円(税込) ハンドブック プレゼント中! |
通常支払いよりも総額25200円分のお得になります。
(都度払いに比べ、毎回1700円の割引になります)
通常料金で都度払いでの整体も行なっています。
お気軽にご相談ください(^^)
【参考】産前・産後の整体
当院におけるトレーニング&食事・日常生活編の成果
※許可を得たお客様のみ掲載。
M・K様

| 腹直筋離開 | 改善 |
| お腹ポッコリ | 改善 |
| おへそ | 改善 |
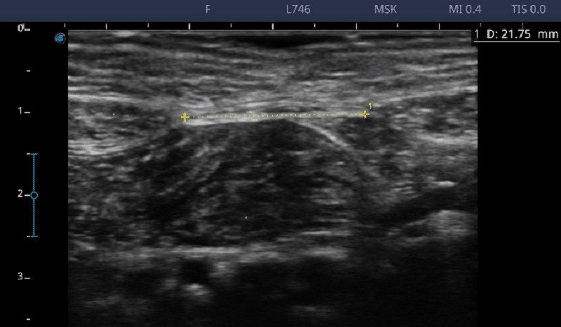
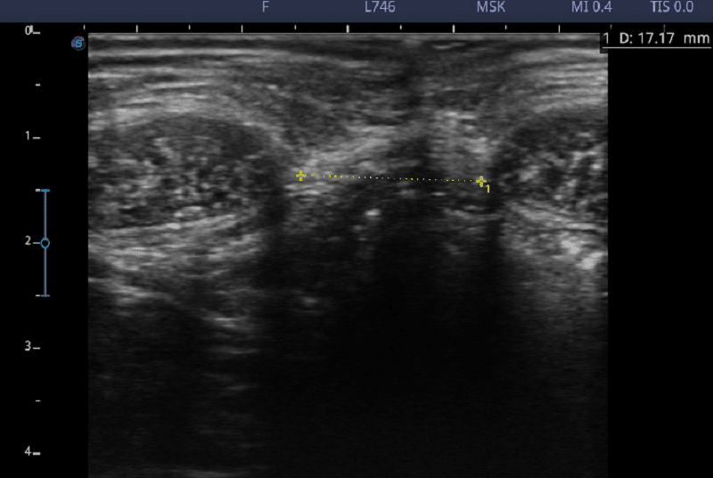
エコー写真は、M様の治療前後の効果を示しています。
【治療前 21.75㎜】

【治療後 17.17㎜(-4.58㎜ 離開 減少)】

治療後すぐから腹直筋離開が改善していることが明らかになった。
治療後も効果が残ることが分かった♪
治療を継続することで、腹直筋離開が改善することが判明した!!
A様 30歳代 女性


| 腹直筋の左右の幅 | 4.0㎝ ⇒ 1.2㎝ |
| 体型 | 明らかに改善 |
| 腹部の膨隆 | なくなっている |
| おへその形 | 改善 |
| 腹部の皮膚のたわみ | 改善 |
| 色素沈着 | 改善 |
| 腹直筋の輪郭 | 改善 |
S様

| 腹直筋の左右の幅 | 1.8㎝ ⇒ 1.4㎝ |
| おへその形 | 改善 |
| 腹部の皮膚のたるみ | 改善 |
| 腹直筋の輪郭 | 改善 |
Y・S様

| 腹直筋の左右の幅 | 1.0㎝ ⇒ 0.5㎝ |
| 体型 | 改善傾向 |
| 腹部の皮膚のたるみ | 改善傾向 |
| ウエスト | 減少 |
A・M様 30歳代
トレーニング継続中。
双子をご出産。4児のママさん。

| 腹直筋の左右の幅 | 5㎝ |
| 色素沈着 | あり |
| 腹部膨隆 | あり |
K・T様 30歳代

| 腹直筋の左右の幅 | 2.0㎝ ⇒ 1.3㎝ |
| ウエスト | 減少 |
M・N様
トレーニング1週間で、ここまで改善できることを確認できた。

| 腹部膨隆 | 改善 |
| インナーマッスル | 機能改善がみられる |
R・S様


| 腹直筋の左右の幅 | 3.0㎝ ⇒ 1.7㎝ |
| ウエスト | 減少 |
| 腹部膨隆 | 改善 |
| インナーマッスル | 機能改善がみられる |
K・M様
これだけの改善が2.5週間で生じていることの事実を確認して頂きたい!
産後のお腹ポッコリ、腹直筋の不調があった方ですが、当院の整体で改善しました!!



| 腹直筋の左右の幅 | 2.5㎝ ⇒ 1.7㎝ |
| ウエスト | 劇的に減少 |
| 腹部膨隆 | 改善 |
| インナーマッスル | 機能改善がみられる |
| 縦の長 | 短くなっている。 12㎝ ⇒ 10.5㎝ |

M様は、腹直筋サポーターにもご満足しております!!

Y・A様




| 腹直筋の長さ | 19㎝以上(測定不可:恥骨結合~胸下まで) ⇒ 6.5㎝ |
| 腹直筋の幅 | 1.7㎝ ⇒ 0.8㎝ |
| おへそ | 改善傾向 |
| ウエスト | 減少、くびれが戻った |
| 体幹 | 引き締まった |
| 妊娠線 | 小さくなった |
| 色素沈 | 薄くなった |
N・S様


| 腹部膨隆 | 改善 |
| インナーマッスルの機能 | 改善 |
| ウエスト | 減少 |
| 色素沈着 | 改善 |
| 皮膚のたわみ(妊娠線) | 改善 |
| 腹直筋の幅 | 改善 |
R・T様

| インナーマッスル | 改善 |
| 腹部の状態(腹部膨隆) | 改善 |
| おへその状態 | 改善 |
Y・T様

| 腹部の状態(腹部膨隆) | 改善 |
| ウエストのくびれ | 改善 |
| おへその状態 | 改善 |
E・M様



| 腹部の状態 | 改善 |
| 腹直筋の幅 | 2.1㎝ ⇒ 1.1㎝ |
| 腹部の皮膚の状態 | 改善 |
| ウエスト | 減少 |
| おへその状態 | 改善 |
R・S様



| ウエスト | 減少 |
| 腹部筋肉 | 改善 |
| 腹直筋の間の幅 | 3.5㎝ ⇒ 0.8㎝ |
| 腹直筋の長さ | 7.0㎝ ⇒ 2.0㎝ |

K・A様 女性
腹壁瘢痕ヘルニアの手術後に不具合があった方ですが、産前のように体型が戻り、筋力が使えるようになりました!!
腹直筋離開の手術後(腹壁瘢痕ヘルニア)の整体を行い、筋力や痛みが改善しました。
<遠方の方で、当院に通えない方におススメ♪>
オンライン診療・腹直筋離開トレーニングブック・サポーター・DVDの販売
オンライン診療について
zoomやメール、LINEを使って、遠方にいる皆様とリアルタイムで腹直筋離開の状態を確認させていただき、腹直筋離開の改善に向けて、しっかりとやり取りさせていただきます。
詳しくは、オンライン診療ページをご覧ください。
腹直筋離開トレーニングブック
1冊2200円(税込)でご購入可能です。
サポーターについて
毎日ご着用頂くことで効果を発揮します。
そのため、洗い替えで2個ご注文される方が多いです。
(合計金額6600円を超えるため、送料無料です)
※ハンドブック・DVDとの同時購入がおススメです!!
ご郵送での販売について
郵送の場合、送料520円(追跡機能付き)
税込6600円以上ご購入の場合、送料は無料。
※腹直筋サポーターとの同時購入がおススメ!
クレジットカード決済をご希望の方
ご注文手順
- ご希望の商品を選び、カートに追加してください。
- PayPalという決済会社からクレジットカードでの決済が可能です。
- PayPalにアカウントにある方・・・「PayPal Check Out(PayPalで支払う)」を選びます。
- PayPalにアカウントがない方・・・「Check Out(支払う)」を選びます。
- お名前、住所、クレジットカード情報を入力して、ご注文を完了させます。
※英語表記されたり、操作が不明だったりする場合は、お電話/メールでもご注文を承っております。
ご注文用 電話番号:04-7100-2101
腹直筋の機能改善には、腹部の固定が重要です!
トレーニング法、食事・日常生活編と腹部サポーターの併用により、腹部の状態が最速で変化していきます。
【参考】腹直筋トレーニングを継続するには
当院の腹直筋離開の治し方
腹直筋離開の改善は、2~3ヵ月(個人差あり)
腹直筋に対する改善プログラムは、10項目あります。
10項目を達成するのに、最短では10回となります。
そのため、大変お得な回数券をおススメしております。
-
- オンライン診療項目①
- 検査、step1
-
- オンライン診療項目②
- step1の確認、step2への判断
-
- オンライン診療項目③
- step2の確認 step3への判断
-
- オンライン診療項目④
- step3①
-
- オンライン診療項目⑤
- step3②
-
- オンライン診療項目⑥
- step3③
-
- オンライン診療項目⑦
- step3④
-
- オンライン診療項目⑧
- step3⑤
-
- オンライン診療項目⑨
- step3⑥
-
- オンライン診療項目⑩
- 卒業の確認
-
- 卒業
- 固定しないで行う腹筋運動は、悪化します。
- 脚挙げトレーニングは、悪化します。
- トレーニング中、固定した腹直筋を触診していないと悪化します。
- ヨガ、ピラティス、パーソナルトレーナーによる腹直筋離開のトレーニングは悪化します。
(お客様の状態をみて判明しました。お気を付けください。) - トレーニングを行えば行うほど、悪化する方がいます。
- なるべく一人では行なわない!!(第3者の固定補助があると改善が早いです)
- 固定をマスター!!
- 継続!!
以上の3つのことが大変重要になります。
なんとか一緒にがんばりましょうね(^_^)

