
当院での腹直筋離開に対する超音波エコーの研修の様子《金町のやぎはし整体院》
腹直筋離開に対して、当院では超音波エコー装置を用いて、腹直筋離開の距離を計測しております。
正しく計測できるように、大学の准教授をお呼びして、腹直筋離開へ高い効果を出せるように研修をしております。
村上先生によるエコー操作の指導


実際の腹直筋離開のエコー画像
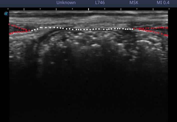
正常の腹直筋

見やすくするために、マーキングしますと、

赤:腹直筋
白:白線
これは、正常な幅&太さの白線です。
腹直筋離開のエコー写真

見やすくするために、マーキングしますと、

腹直筋の間にある白線が、延長しており、薄くなっているのが観察されます。
このように、当院では、エコーを使用して、腹直筋を確認しております。
その結果、腹直筋離開の状態を適切に戻すことにつながっております。
産後の方で、腹部が気になっている方は、お気軽にご相談ください。
産後・腹直筋離開オンライン診療
お客様からご要望があったため、申し込みを再開しました!!
【完全個室+託児付き】キッズスペース
女性特有の悩みを広い整体スペースでは、相談しにくいと思います。
そのため、完全個室の整体スペースを作りました!!
お子様が泣いても個室だから安心!!
金町の当院には、産後の整体を希望するお子様連れのお客様が大変多くいらっしゃるようになりました。
そのため、完全個室のキッズスペースを作りました!!
金町では唯一の整体院です。ぜひ、ご活用下さい\(^o^)/




