
石灰沈着性腱板炎とは?《金町のやぎはし整体院が解説》
朝、起きたら腕が痛くて、自由に動かせないといったことがありませんか?
なぜ、このようなことが起こるのでしょうか?
肩の痛みの原因

何らかの炎症が肩に生じて肩痛や肩の動かしずらさにつながっていることが考えられます。
その炎症の原因の一つに、「石灰沈着性腱板炎」があります。
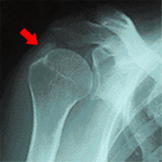
レントゲンを撮ると肩の部分に白く小さい塊が映っていることがあり、これが石灰です。
この石灰が周囲の筋肉等の組織に炎症を起こし、肩の痛みを強くしています。
石灰沈着性腱板炎の治療の基本
痛みがひどい場合は、整形外科を医師の診断を受けてください。
痛みの原因を診断してもらうことが重要です。
治療の基本は、石灰が身体に吸収されるのを待ちます。
その間、痛みの原因は主に炎症によるため、痛み止め(抗炎症剤)の注射をうちます。
また、投薬により肩の炎症を抑えていきます。
それに加えてアイシングをして炎症を抑えていきます。
すると、数日で肩の痛みや動かしづらさが改善していることが多いです。
石灰沈着性腱板炎の注意点
痛みの原因は炎症によるものなので、痛みの出ている部分をマッサージしたり、無理に肩を動かしたりすると炎症が憎悪して悪くなります!
寝ているときの肩の置く位置が悪いと痛みが強くなり、夜眠れなくなってしまいますので枕やクッションを使って肩に一番負担がかからない位置を探すことで痛みが和らぐことがあります。