肩 【葛飾区金町のやぎはし整体院】肋骨の引っかかりが肩こりに影響する理由 《金町のやぎはし整体院が解説》肋骨は胸郭を形作るだけでなく、背骨や肩甲骨と連動して体を支えています。そのため、肋骨に引っかかりが生じると肩の動きや筋肉に大きな負担がかかり、肩こりの原因になることがあります。 肩甲骨の動きが制限される 肋骨は肩甲骨と隣接して動いています。肋骨がスムーズに動かなくなると肩甲骨の可動域も狭ま...
肩 【葛飾区金町のやぎはし整体院】金町で「肩の痛み」専門の整体 元巨人軍投手の角盈男さんがご来店されました。 葛飾区金町で肩の痛みを治療するなら、やぎはし整体院! 肩の痛みは、夜寝ているときに生じることがあります。 肩の夜間痛と呼ばれる痛みです。 肩の夜間痛により寝ている間もズキズキ痛いので寝付けず睡眠不足になる患者様が多いです。 なぜ、夜間痛が生じるのかというと、五十肩になると関...
肩 【葛飾区金町のやぎはし整体院】座っているだけで肩が痛い 肩の痛みは炎症が原因《金町のやぎはし整体院が解説》 特に、腕を動かしているわけでもないのに、肩に痛みが生じることがあります。 座っていたり、横になっていたりするだけで、痛みが生じるのです。 考えられる原因には、4つあります!! ①肩に炎症が起きている 肩に炎症が起きると、何もしなくても座っているだけで、肩に痛みを生じま...
肩 【葛飾区金町のやぎはし整体院】肩が動かない(拘縮) https://youtu.be/h5LvLZbQ0lQ?list=TLGGFMGZ18tZN7UxMjA5MjAyMw 動かない肩の「拘縮」とは?《金町のやぎはし整体院が解説》 初めは、痛みがあって動かせない時期があります。 その後、痛みがひいて、いざ腕を動かそうと思っても、固まってしまい自由に腕を動かすことができな...
肩 【葛飾区金町のやぎはし整体院】金町で「五十肩(四十肩)」専門の整体 金町で五十肩(四十肩)を治療する整体とは?《やぎはし整体院が解説》 明らかな外傷がなく生じ、痛みと柔軟性低下を主症状とすると言われています。 さらに、詳しく見ると、3つに分類できます。 痙縮期(freezing phase):痛みが強く、運動が制限される時期 拘縮期(frozen phase):関節に拘縮があり、肩の運...
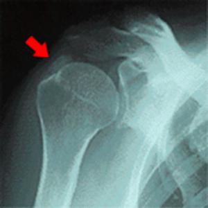
肩 【葛飾区金町のやぎはし整体院】金町で「石灰沈着性腱板炎」専門の整体 石灰沈着性腱板炎とは?《金町のやぎはし整体院が解説》 朝、起きたら腕が痛くて、自由に動かせないといったことがありませんか? なぜ、このようなことが起こるのでしょうか? 肩の痛みの原因 日本整形外科学会のHPより引用 何らかの炎症が肩に生じて肩痛や肩の動かしずらさにつながっていることが考えられます。 その炎症の原因の一つ...
肩 脱臼 【葛飾区金町のやぎはし整体院】肩の脱臼・亜脱臼 「肩が抜けてしまった」という表現をして、病院にいらっしゃる方がいます。 医学的には、「肩関節脱臼」と言われるものです。 肩関節脱臼とは?《金町のやぎはし整体院が解説》 日本整形外科学会HPから掲載 肩関節は、肩甲骨と上腕骨の2つの骨で成り立っています。 何かの原因で、上腕骨が肩甲骨の関節から逸脱し、正常な位置にから外...
肩 【葛飾区金町のやぎはし整体院】金町で「肩の腱板損傷」専門の整体 肩の腱板とは?《金町のやぎはし整体院が解説》 筋骨格系のキネシオロジーを改編して引用 腱板損傷を説明する上で、まず、「腱板」とは何かを説明しなくてはなりません。 正式には、「回旋筋腱板(ローテーターカフ)」といいます。 肩関節の周りを覆っている筋肉の事で、全部で4つの筋肉の腱から出来ています。 この筋肉が肩関節を覆って...
肩 【葛飾区金町のやぎはし整体院】肩の痛みは内臓からかも? 内臓が原因で肩の痛みが生じる《金町のやぎはし整体院が解説》 肩の痛みの原因を考えるときに、重要なものがあります。 それは、「内臓」です。 どういうことかと言いますと、「内臓」が不具合を起こすと、痛みを感じることがあるということです。 内臓の不具合による肩の痛み 生理学授業での資料より 内臓に不調が生じた場合、上の図のよ...
肩 首 【葛飾区金町のやぎはし整体院】頸椎から肩の痛みがでる!! 頸椎の動きの悪さが肩の痛みになる《金町のやぎはし整体院が解説》 肩の痛みの原因を考えるときに、重要なものがあります。 それは、「首」です。 どういうことかと言いますと、「首」が不具合を起こすと、肩にも影響を出して症状を感じることがあるということです。 首の不具合による肩の痛み 1.首の関節に不具合が生じた場合 「筋骨格...