ひざ 【葛飾区金町のやぎはし整体院】ひざの整体 足の長さを整える 脚の長さの違いが引き起こす膝の痛み 脚長差とは?《金町のやぎはし整体院が解説》 左右の脚の長さが違うことを、「脚長差」といいます。 この脚長差があると、膝の痛みが生じます。 しかし、「左右の脚の長さが違うよ」といわれたことのある人は多いはずです。 脚長差の原因 先天的に骨の長さが違う。(めったにいません) 骨盤がずれて...
ひざ 【葛飾区金町のやぎはし整体院】ひざ痛と骨の棘(とげ)の関係 骨棘(こつきょく)とは?《金町のやぎはし整体院が解説》 「機械的ストレスや炎症性刺激によって骨辺縁部に新生する骨性隆起。」(リハビリテーション医学大辞典 第1版) 変形性膝関節症では、大腿骨や脛骨(すねの骨)にレントゲン上で確認されます。 レントゲン写真を見ると、左の写真で、正常膝にはない部位(赤丸)に骨棘(骨のとげ)...
ひざ 【葛飾区金町のやぎはし整体院】ひざの整体 姿勢の歪みを整える!! 姿勢のゆがみがひざ痛の原因になる《金町のやぎはし整体院が解説》 理想的な姿勢はない!! 今日、健康ブームであり、姿勢矯正や理想的な姿勢がどういうものであるか、という情報が飛び交っています。はっきり言いますと、多くは間違っています。 なぜかというと、一定の姿勢でいることはないからです。 私たちは、重力環境の中で、生活して...
ひざ 【葛飾区金町のやぎはし整体院】ひざの整体 歩き方を正常化する!! 歩き方の乱れがひざ痛の原因になる《金町のやぎはし整体院が解説》 私たちの生活は・・・ 私たちは、止まっている事がほとんどありません。 また、膝の痛みも歩行や階段の上り下りなど動いているときに多く見られます。 そのため、変形性膝関節症の膝痛の原因の多くは、生活習慣の動作中に負担がかかっていることが多いと言われています。 ...
ひざ 【葛飾区金町のやぎはし整体院】ひざの整体 関節の水 膝関節の水をたまらないようにするには・・・《金町のやぎはし整体院が解説》 「ひざの水」の用語の誤解 膝関節に水がたまる事を専門用語で「関節水症」と言います。 ちなみに、「関節水腫」は間違いです。 まず、膝の関節液について説明します。関節液は、滑液と呼ばれます。 滑液は、膝を始めとした関節を覆っている関節包の内側にある...
ひざ 【葛飾区金町のやぎはし整体院】ひざの痛みの治療・整体 扁平足を治すことで膝の痛みを劇的に改善! 扁平足が膝の痛みの原因になる!!《金町のやぎはし整体院が解説》 筋骨格系のキネシオロジーより一部改変 正常の足では、土踏まず(医学用語では内側縦アーチ)があるために、歩行時や階段昇降時の体重負荷を足全体で分散しています。 また、床からの衝撃を足でうまく吸収しています。 この2点が主な土踏まずの機能になります。 内側縦ア...
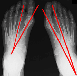
ひざ 【葛飾区金町のやぎはし整体院】ひざの整体 母趾を整える 外反母趾がひざの痛みの原因になる《金町のやぎはし整体院が解説》 外反母趾の病因 様々な形状や性質、種類の靴が作られ、それを履くことや最近の生活様式によって、急速に増加してきています。 その要因として、以下などが密接に関わりあって発生します。 外反母趾になる要因 土踏まず(内側縦アーチ)の低下=扁平足 横アーチの低下 中...
ひざ 【葛飾区金町のやぎはし整体院】ひざの軟骨は再生する!! 膝の軟骨の再生《金町のやぎはし整体院が解説》 変形性膝関節症などで、軟骨が一度すり減ると修復しないと言われています。 しかし、軟骨も細胞から出来ています。 細胞から出来ているということは、代謝が毎日行われているということです。 代謝とは、古い身体の組織を、新しい身体の組織に置き換えることを言います。 つまり、軟骨といえ...
ひざ 【葛飾区金町のやぎはし整体院】金町で『半月板損傷』専門の整体 金町で半月板損傷を治療するおススメの整体 半月板の役割《金町のやぎはし整体院が解説》 膝には大腿骨と脛骨(すねの骨)との間に半月板と呼ばれる柔らかい物が内側と外側2つあります。 主に膝関節の地面や体重からの衝撃を和らげるクッションのような作用があります。 また、膝がスムーズに動くための潤滑作用もあります。 半月板損傷と...
ひざ 【葛飾区金町のやぎはし整体院】正しい筋トレで、ひざを整える 筋トレでひざを整える《金町のやぎはし整体院が解説》 なぜ筋力を向上しなくてはならないのか? よくある話で、「膝が痛くて病院に行くと筋トレをしなさい!」と言われますが、どこの筋力をつけたらいいのか、どうして筋力をつけると痛みが軽くなるのかが分からないため、筋トレが持続しないことが多いです。 ここでは正しい膝の痛みに対して...